Dr. Rachel | Woodbridge Dentist | Pickering Dentist | Tooth Connection Dental | Home

HealthyStart® System

Naturally Straighten Teeth & Improve Breathing

What Is HealthyStart®?

The HealthyStart® System is a revolutionary, non-invasive treatment designed to naturally guide the development of your child’s jaw and airway. Using a series of comfortable, easy-to-wear oral appliances, HealthyStart® also supports healthy breathing and better sleep.

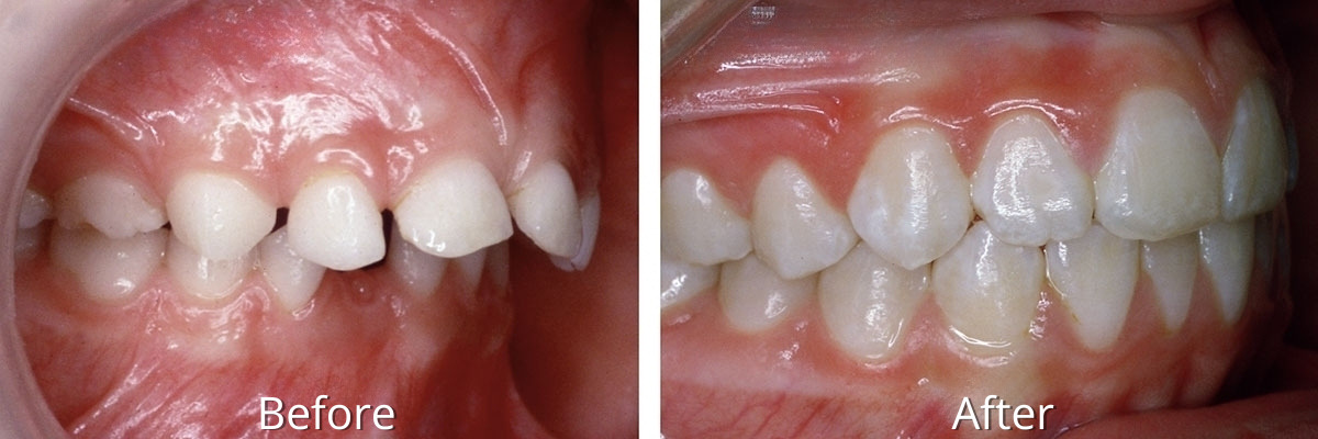
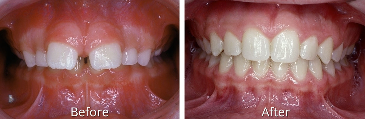
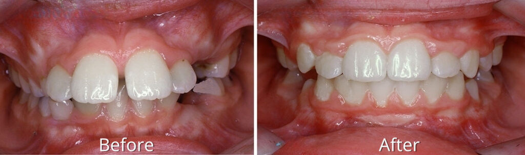
HealthyStart provides a non-invasive treatment promoting arch development beautiful smiles and a lifetime of healthy breathing. -Just as Nature Intended-

How It Works

HealthyStart® uses uniquely designed appliances worn a few hours during the day and/or while your child sleeps. These soft, flexible devices:

As your child grows, the appliances work with their natural development, guiding teeth into proper alignment and supporting airway health.

Addressing More Than Just Smiles

The system targets the root causes of Sleep Disordered Breathing (SDB), a condition that can impact a child’s health, behavior, and learning. Signs of SDB may include:

By treating these issues early, HealthyStart® can help improve your child’s sleep, focus, energy, and overall well-being.

Why Choose HealthyStart®?

Is Your Child a Candidate?

If your child shows signs of crowded teeth, teeth grinding, mouth breathing, or disrupted sleep, they may benefit from the HealthyStart® System. Early intervention can make a big difference in their lifelong health, development, and confidence.

Schedule a Consultation Today

Help your child breathe better, sleep better, and smile with confidence.

FAQs

At what age should my child start HealthyStart®?

Ideal candidates are typically between ages 2–8. Early evaluation is best!

Will my child still need braces later?

HealthyStart® is a Phase I treatment to develop the airways and bone structures to accommodate the eruption of the permanent teeth; some children do not require braces later on, though individual cases vary.

Is the appliance uncomfortable?

Not at all! It’s made from soft, flexible material and is designed for comfort.

Trusted. Safe. Proven.

HealthyStart® has helped thousands of children worldwide breathe, sleep, and smile better—naturally. Let’s give your child the same healthy foundation.